Cara Membersihkan Karang Gigi Dengan Aman Dan Efektif

Cara Membersihkan Karang Gigi Dengan Aman Dan Efektif

Cara Membersihkan Karang Gigi dengan aman dan efektif tidak bisa di lakukan hanya dengan satu cara saja. Kombinasi antara perawatan profesional seperti scaling, kebiasaan menyikat gigi yang benar, penggunaan benang gigi, serta pola makan sehat sangat di perlukan untuk menjaga kesehatan mulut.

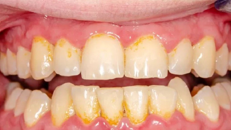
Di tengah kebiasaan masyarakat modern di Indonesia, banyak orang baru menyadari keberadaan karang gigi ketika kondisinya sudah cukup parah. Oleh karena itu, penting untuk memahami cara membersihkannya dengan aman dan efektif agar kesehatan gigi tetap terjaga.

Cara paling aman dan efektif untuk menghilangkan karang gigi adalah dengan melakukan scaling di dokter gigi. Scaling merupakan prosedur pembersihan menggunakan alat khusus untuk mengangkat karang gigi yang menempel kuat pada permukaan gigi dan di bawah garis gusi.

Prosedur ini tidak bisa di gantikan dengan sikat gigi biasa karena karang gigi sudah mengeras. Dengan bantuan alat ultrasonic scaler, dokter gigi dapat membersihkan seluruh area gigi secara menyeluruh tanpa merusak jaringan gusi.

Selain itu, scaling juga membantu mencegah peradangan gusi dan mengurangi risiko penyakit periodontal. Oleh karena itu, pemeriksaan rutin ke dokter gigi sangat di anjurkan minimal setiap enam bulan sekali.

Menjaga Kebersihan Gigi Dengan Menyikat Gigi Yang Benar

Meskipun karang gigi tidak bisa di hilangkan hanya dengan sikat gigi, kebiasaan menyikat gigi yang benar sangat penting untuk mencegah pembentukan karang gigi baru. Menyikat gigi sebaiknya di lakukan dua kali sehari menggunakan pasta gigi yang mengandung fluoride. Teknik menyikat juga harus di perhatikan, yaitu dengan gerakan lembut dan menyeluruh pada seluruh permukaan gigi.

Selain itu, waktu menyikat gigi juga penting. Menyikat gigi sebelum tidur sangat di anjurkan karena pada malam hari bakteri lebih mudah berkembang jika sisa makanan masih tertinggal di dalam mulut. Di lingkungan masyarakat di Indonesia, kebiasaan menyikat gigi secara rutin masih perlu di tingkatkan agar kesehatan gigi lebih terjaga

Salah satu langkah penting dalam menjaga kebersihan gigi adalah menggunakan benang gigi atau dental floss. Sikat gigi saja tidak mampu menjangkau sela-sela gigi yang sempit, sehingga sisa makanan sering tertinggal di area tersebut.

Benang gigi membantu mengangkat sisa makanan dan plak yang berada di antara gigi sebelum berubah menjadi karang gigi. Penggunaan secara rutin dapat mengurangi risiko penumpukan plak secara signifikan. Selain itu, penggunaan benang gigi juga membantu menjaga kesehatan gusi dan mencegah peradangan yang dapat menyebabkan gusi berdarah.

Cara Membersihkan Karang Gigi  Berkumur Dengan Obat Kumur Antiseptik

Cara lain yang dapat membantu menjaga kebersihan mulut adalah dengan menggunakan obat kumur antiseptik. Obat kumur membantu mengurangi jumlah bakteri di dalam mulut dan memberikan perlindungan tambahan setelah menyikat gigi.

Penggunaan obat kumur secara rutin dapat membantu menjaga napas tetap segar serta mengurangi risiko terbentuknya plak baru. Namun demikian, obat kumur tidak dapat menggantikan sikat gigi atau pembersihan profesional. Oleh karena itu, penggunaannya sebaiknya menjadi pelengkap dalam rutinitas perawatan gigi harian.

Selain perawatan langsung, pola makan juga berpengaruh terhadap kesehatan gigi. Konsumsi makanan manis dan minuman bersoda yang berlebihan dapat mempercepat pembentukan plak dan karang gigi. Sebaliknya, memperbanyak konsumsi air putih dan makanan berserat seperti buah dan sayuran dapat membantu membersihkan gigi secara alami. Air putih juga membantu menjaga produksi air liur yang berperan penting dalam menjaga keseimbangan bakteri di mulut.

Dengan perawatan yang konsisten, masyarakat di Indonesia dapat mencegah pembentukan karang gigi sejak dini dan menjaga kesehatan gigi dalam jangka panjang Cara Membersihkan Karang Gigi.