Cara Membersihkan Karang Gigi Dengan Aman Dan Efektif
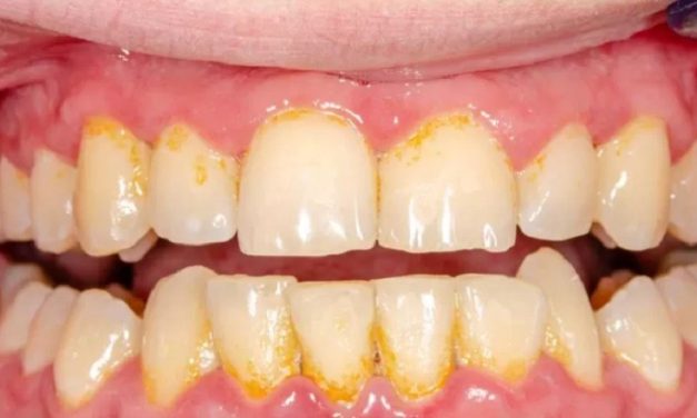
Cara Membersihkan Karang Gigi dengan aman dan efektif tidak bisa di lakukan hanya dengan satu cara...
Baca selengkapnyaCara Membersihkan Karang Gigi dengan aman dan efektif tidak bisa di lakukan hanya dengan satu cara...
Baca selengkapnya
Adat Nias Ancaman Laut Backpacker Bahaya Penyalahgunaan Obat bangunan Bersejarah Budidaya Ikan Cara Membersihkan Karang Gigi Jenis Bencana Alam Jenis Motor Klasik Kebiasaan Harian Sehat Kiprah Basuki Kolestrol Tinggi Kuliner Khas Siantar Kuliner Khas Thailand Latihan Ringan Makna Warna Bunga Manfaat Kesehatan Manfaat Rosemary MBG Medan Melatih Anak Anjing Merangkai Bunga Museum Batak Olahan Buah Olahraga Panduan Packing Pegal Linu Pelatihan Anjing K9 Pemain Bintang Pemerintah Penerima Beasiswa Pengobatan Gratis Perang Ukraina Peregangan Perjuangan Nenek Perlawanan Rakyat Persiapan Militer Perut Kram Quiet Quitting RS Colombia Sejarah Dan Perkembangan Solo Tradisi Unik Nias Tren Second Career Warisan Leluhur